Dental Veneers
Porcelain Dental Veneers
A confident smile changes how you walk into a room. Cosmetic veneers in West Orange, NJ from Suburban Essex Dental are designed digitally — meaning you see your new smile on screen and approve the shape, length, and color before we ever prepare a tooth.
Whether you have irregularly-shaped teeth, an unsightly gap, stains that won’t respond to whitening, or a smile that simply looks tired, custom porcelain veneers from Dr. Paul R. Feldman, DMD, FAGD, FICOI are an ideal choice. Our digital smile design workflow lets us preview your results before any treatment begins — and we deliver every case from our friendly West Orange, NJ office.
How Do Porcelain Veneers Work?
Porcelain veneers are applied to your teeth in a way that is very similar to the application of false fingernails. They are designed to camouflage any unwanted aspect of your smile and are easy to maintain.
First, your dentist will remove a very thin layer of your natural enamel on the teeth that you’d like veneers to be placed on.Then custom-made veneers made of ultra-thin ceramic shells are fabricated based on your teeth.
To apply the veneers, your dentist will apply an acidic etching solution to the tooth to prepare the surface, and then paint that surface with an adhesive resin. The resin is then hardened with a special bonding light, and excess resin and veneer are removed and smoothed.
Through delicately applied, custom veneers your smile can be as pearly white and perfect as you imagined.
Porcelain Veneers Are Now Included In Our Same-Day Dentistry Services
Now, with revolutionary new same-day dentistry technology, we can create a precise, virtual model of your teeth in a matter of minutes. These models are then used to make porcelain veneers, ceramic crowns, and ceramic inlays or onlays in a single visit. A custom model of your teeth is designed within a computer program and then wirelessly sent to a specialized milling machine that converts the design into a physical ceramic object. We can now create that model within a matter of minutes making it possible to give you a beautiful smile the same day as your visit!
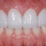
Dental Veneers Before and After
Before
After
Before
